第八季春牙计划
最近深受大家喜爱的综艺节目《听姐说》,请来了演员黄小蕾,本以为可以听到什么娱乐八卦,结果她却告诫大家,做了烤瓷牙不要吃头。
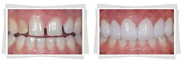
其实不少女明星都做了烤瓷牙,这早已经不是什么秘密。毕竟牙齿是我们的第二张脸,承包了70%的气质,80%的颜值。
很多小伙伴也想通过烤瓷牙和全瓷牙来提升自己的颜值,却苦于不知如何选择?
下面就由深圳德贝美口腔医生介绍如下。>>>在线了解更多
大家知道烤瓷牙和全瓷牙都是适用于牙体修复的方式,主要适用于四环素牙、氟斑牙、变色牙、畸形小牙。
如果有缺牙、龋齿也是可以采用烤瓷牙或全瓷牙来修复的。今天小编就为大家来对比一下这两种方式,分别看看它们的优缺点都有哪些?
烤瓷牙优点:
做完烤瓷牙后,我们当牙齿外观和天然牙一样,并且整齐美观,坚固耐磨。烤瓷牙的生物相容性良好,不刺激口腔组织,非常容易清洁,边缘的密合性比传统的修复体要好得多。

烤瓷牙缺点:
由于烤瓷牙含有金属,存在金属的游离释放。在复杂的口腔环境中,容易释放出黑色的氧化物,导致牙龈局部染色,容易形成牙龈黑线;部分物质还容易导致过敏;对核磁共振影响比较大。
目前市面最为典型的烤瓷牙就是氧化锆全瓷冠。氧化锆是现阶段最理想的修复材料。氧化锆本身是一种航空材料,它有着极高的抗压、抗折强度,机械性能良好。
全瓷牙优点:
全瓷牙有着强度高、牢固、生物相容性好等优点;并且能耐受得住,口腔内比较复杂的功能要求,除了单冠还可以做连冠。

全瓷牙缺点:
对基牙要求较高,费用较贵。面对镶牙我们如何选择?
通过综上对比,镶牙的最优选择当属氧化锆全瓷冠啦,但是肯定有小伙伴在担心价格问题。高昂的镶牙费用是不是阻挡了您变美的脚步?
德贝美口腔携手深圳市慈善会共同成立爱牙基金,向深圳市民提供百万看牙公益补贴。网络预约享受更多看牙优惠,点击在线咨询或拨打24小时爱牙热线0755-28092885