第八季春牙计划
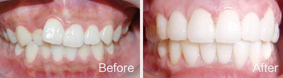
如果能够拥有洁白的牙齿同样会让人觉得心情变好,但无奈的是在现实生活中有很多人,牙齿并不是很完美,所以不敢和他人交流,时间一长很容易会产生一种自卑的心态,所以要想改善牙齿不完美不妨就选择隐形矫正牙齿,那么隐形矫正牙齿一般要多少钱?下面就有深圳德贝美口腔医生为大家介绍如下:

隐形矫正牙齿所需要的费用并不完全固定,因为这和爱美者实际的情况,所选择的医院,所选择的医生都有一定的关系,在选择隐形矫正牙齿时,价格会有一定的区别,所以这些也需要了解。
隐形矫正和传统的牙齿矫正手术进行比较,隐形矫正牙齿会拥有着独特的优势,不需要钢丝和托槽,会选择隐形矫治器。这种隐形矫治器会选择一种透明的高分子材料,所以在整个矫正的过程中拥有着自然的效果,可以在别人毫无察觉的过程中完成,不会影响到正常的生活,不会影响到正常的社交。另外因为没有了托槽的繁琐,临床的操作就具有简化的效果,在整个矫治的过程中更能够体现省时省力的效果。
在目前的临床上是一种比较先进的技术,但是这种方法虽然有优点也并不适合于所有的人,一般仅仅只适合于轻中度的牙齿畸形。
在看完上面的内容之后,人们就可以了解隐形矫正牙齿需要多少费用,为了安全起见,建议选择正规的口腔机构,如此才能够拥有着更好的保障。在手术之后也需要注重于护理,同时需要按照医生指定的时间去复诊,否则就会产生不必要的影响,比如应该随时保持口腔的清洁和卫生。
以上就是德贝美口腔医生为大家整理的蛀牙的症状表现的内容了,希望可以解决大家的疑惑,想了解更多精彩信息,别忘了关注我们的网站哦。
德贝美口腔携手深圳市慈善会共同成立爱牙基金,向深圳市民提供百万看牙公益补贴。网络预约享受更多看牙优惠,点击在线咨询或拨打24小时爱牙热线0755-28092885